




| 対象者 | 男性、女性とも |
|---|---|
| 検査方法 | 約5分検査台の上で横になるだけです。息を数回止めてじっとします。 |
| 異常を示す病気 | 結核、肺がん、肺炎など |
| 料金 | 20,900円(税込) |
肺がんは、気管支や肺の一部の細胞からできるがんで、がんで死亡する人の中で、男性では肺がんが死因の1位(2021年)、女性のがん患者の死亡数は大腸がんよりわずかに少なく2位(2021年)です。たばこを吸うと肺がんが4~10倍ほど起こりやすくなると言われていますが、たばこを吸わないから肺がんにはならないということではありません。50歳を過ぎたら検査をお勧めいたします。
肺がんは元来、予後の極めて不良な悪性腫瘍の代表であり、がんのうちで最も生存率が低いので早期発見、治療が最も必要となる疾患です。
次に該当する方は検査をお勧めいたします。
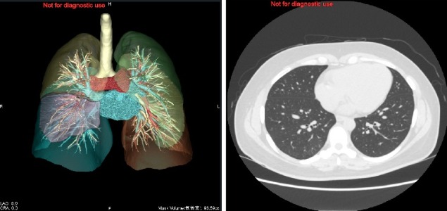
当院の人間ドックでは、肺がん等の早期発見を目的とした「肺がんドック」をオプションとして2001年4月から実施していますが、新しいCT機器の導入に伴い期間限定で同機により可能な3D画像(通常5千円程度)を無料でお付けするプラン「プレミアム肺がんドック」を実施いたします。
2025年9月から新たに導入いたしましたCT機器 Aquilion(Canon社製)により
1 息止めの時間が8秒から3秒に短縮されました。
2 検査による被ばく量が従来の半分になりました。
3 AIを使った画像処理により少ないX線量でも精細な画像となりました。
320列マルチスライスCT装置 Canon社製 Aquilion
320列マルチスライスCTを使うので、胸部をらせん状に隙間なく短い時間で撮影が可能です。また、1ミリ間隔で撮影しますので、通常の胸部X線撮影では、見つかりにくい直径数ミリのごく小さな初期の肺がんを見つけだすことが可能となりました。
加えて、喀痰(かくたん)による細胞診検査でより精度の高い検査を実施します。
読影、診断を行い異常が認められた場合には、放射線科、呼吸器科等でのアフターフォロー体制も万全です。
・マルチスライスCTによるX線撮影
(1.25mm間隔で画像を撮影します。併せて3D画像を作成します。)
・喀痰細胞診検査
(痰を提出していただき、がん細胞の有無を病理学的に検査します。)
2025年10月1日以降は「肺がんドック」CT撮影時にスペース体験ができます。
通常時のCT室

スペース体験時のCT室
期間限定特別企画で撮影した肺の3D 画像を無料(通常5千円程度)でご提供!!
| 開催 期間 | 2025年11月4日~2026年3月27日 |
|---|---|
| 申込 方法 | 「プレミアム肺がんドック」 希望の旨をお電話等によりお申込みください。 検査希望者が多数の場合は、抽選となりますので予めご了承ください。検査決定者には、肺がんドック質問票及び喀痰採取容器(痰を採って入れる容器)を送付いたします。 なお、当日受診していただけない方(抽選もれにより受診できない方)にもその旨ご連絡いたします。 |
| 料金 | 20,900円(税込)(喀痰なしの場合、17,800円) 日本郵政共済組合員の方は、上記料金の一部が助成の対象となります。 |
| 検査所要時間 | 10分から15分程度 |
| 検査 結果 | 2週間程度で結果を書類で郵送いたします。 (3D画像のデータCDも無料で同封いたします。) |