




正常の人の小脳(ボディアン染色):ベン・ケーシーに憧れて医学部に入学した私が、病理形態学に魅かれることになった1枚です。
2つ並んだ西洋梨のような形の大きな細胞がプルキンエ細胞で、ここから樹状突起という突起が木の枝のように広がっています。細胞を良く見ると、周りを「籠線維」という線維が取り巻いているのがわかります。樹状突起の広がっている領域に、水平に走っている細い線維が切線線維、星のように分布しているのが外星細胞と内星細胞です。下の方濃く見えるのは顆粒層と呼ばれる層で、小さな神経細胞が集まっています。
自分の小脳にも、こんなに綺麗な構造があるのかと思うと、「人間の身体ってすごい」と思いませんか?
前立腺癌組織の免疫染色:免疫反応を使った酵素抗体法という方法で、前立腺癌の腫瘍マーカーを染めだしたものです。
ある特定のタンパク質を抗原とした抗体をつくり、組織切片上で免疫反応を起こさせて、抗体の反応した部分を染めだすのが免疫染色です。腫瘍マーカーなども染めだすことができるので、「がん」の診断に有力な武器となります。
写真aのヘマトキシリン・エオジン(H-E)染色ではピンクの背景の中に、紫色の核をもった細胞が分布しているのがわかります。
写真bは2種類の抗体を混ぜた「PINカクテル」を用いた酵素抗体法で染めて、同じ領域を観察したものです。中央から右下では細胞を取り巻くように濃く染まった核が見られます。これが正常部分で前立腺の腺細胞を取り巻いている基底細胞という細胞の核が染まっているのです。上方から左下に分布している細胞では、取り巻く核はなく、細胞質が茶色に染まっています。これが前立腺癌で、この免疫染色を使うと、正常部分と明瞭に区別できるのがわかります。
膜性腎症の蛍光抗体法と電子顕微鏡所見:病理では、通常の光学的顕微鏡の他、蛍光顕微鏡や電子顕微鏡といった装置も診断に用いられます。
腎臓は、糸球体(球状の毛細血管の塊)で血液を濾過して、身体に不要な成分を尿として排泄する働きをしています。この糸球体が障害されると、身体に必要な蛋白質が尿中に漏れ出てしまうことになります。
写真aは、糸球体に沈着したIgGという蛋白質を蛍光抗体法という方法で染めだしたもので、IgGの沈着した部分が緑色の蛍光を発しています。染色の原理は酵素抗体法と同じですが、抗体のついた部分に蛍光を発する色素を付けて発色させています。
写真bはこのような糸球体を電子顕微鏡で観察したもので、血管の基底膜に濃い黒色の沈着物が認められます。IgGを含む免疫複合物の沈着によって、尿中に蛋白質が漏れ出てしまうネフローゼ症候群という病態を生じます。
アスベストと悪性中皮腫:胸水や腹水といった体腔液に含まれる細胞をみることも、さまざまな疾患の診断に役立ちます。
肺や心臓、腹部臓器などは、胸膜・心膜・腹膜という膜に包まれており、これらの表面を覆っているのが"中皮"です。悪性中皮腫はその中皮から発生するがんの一種です。
特に肺を包んでいる中皮から発生することが多く、その多くはアスベスト(石綿)が関与していると考えられています。写真aは肺の組織中にみられたアスベストの顕微鏡写真です。黄褐色で「鉄亜鈴」のような形が特徴的とされています。
アスベストへの曝露から中皮腫を発病するまでに30~40年くらいかかるといわれており、昭和30年~50年頃に暴露された方が発症する時期となったこともあって、近年非常な増加傾向にあります。症状のひとつに体腔液の貯留があり、細胞診で体腔液中の腫瘍細胞を見つけることが早期診断に役立っています。写真bは胸水中に見つかった悪性中皮腫の細胞です。
子宮頸部の正常扁平上皮細胞&HPV感染細胞(コイロサイトーシス):細胞診は子宮がん検診の重要な項目の1つです。
写真aは子宮頸部から擦り取られた正常の扁平上皮細胞です。これに比較すると、写真bの細胞は核が大きく、核の周囲があかるく抜けているのがわかります。これがHPV(ヒト・パピローマウイルス)に感染したコイロサイトと呼ばれる細胞です。
HPVは、性交渉により誰もが感染するウイルスであり、通常は感染しても2年以内に90%が自然治癒します。HPVに感染することは特別なことではありません。しかし、持続(長期に断続的に)感染した場合に、がんの前段階を経て、子宮頸がんが発症しやすくなることがあります。現在では子宮頸がん患者の90%以上からHPVが検出されており、子宮頸がんの最大要因であるといわれています。つまり細胞診でコイロサイトがみつかると、「経過観察が必要」ということになります。
定期的にがん検診を受診していれば、がんの前段階で発見でき、予防・早期治療が可能です。日本においてもHPV遺伝子検査を受けることが可能となっています。特に30歳以上では、HPVの検査を受けて将来のがんの危険性を調べてみるのもいいでしょう。
病理診断と浮世絵
組織に溜まった鉄の存在をみるために行われるのがベルリン・ブルー染色です。写真aは大量輸血によって鉄が肝臓に蓄積してしまった症例で、肝細胞内の鉄があざやかな青に染まっています。
3価の鉄イオンをフェロシアン化カリウムと結合させ、青色のフェロシアン化鉄を形成させるのですが、もともとは1704年にベルリンの染色業者ディースバッハが赤い色を合成しようとして偶然に発見したもので、ベルリン・ブルー(プルシアン・ブルー)と名付けられて世界各地に広まりました。日本では「ベロ藍」「紺青」などと呼ばれ、葛飾北斎が富嶽三十六景を刷る時に用いたことでも有名です。あの「神奈川沖浪裏」(写真b)の波の色も、ベルリン・ブルーで生み出されているというわけで、病理診断と浮世絵の意外な共通点と言えますね。
ヘマトキシリン・エオジン(H-E)染色:病理組織の染色の基本はヘマトキシリンとエオジンという2つの染色液を用いた二重染色です。
写真aは胃粘膜組織です。病理組織の写真と言えば、このピンクと紫に染まった像がおなじみですが、これはヘマトキシリン(青紫)とエオジン(ピンクから赤)という2つの染色液で順番に染めたもので、世界中で使われています。
写真を良く見ると、細胞の表面に細かな糸くずのようなものがたくさんくっついているのですが、わかりますか?これが「ピロリ菌」です。菌体はヘマトキシリンに染まるのでH-E染色でも十分に確認できますが、1983年に「発見」されるまで、だれもその存在に気がつかなかったのです。
このヘマトキシリンは、アカミノキ(Haematoxylum campechianum (写真b))という木材から抽出される色素です。病理の染色には草木染めが使われているわけですね。
(写真b: http://www.uvi.edu/sites/uvi/Pages/VIMAS-Plant_Description.aspx?s=&plantTagNum=31より)
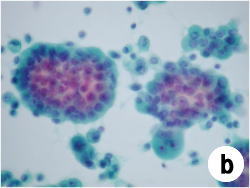
胸水中にみられた乳がん細胞(パパニコロウ染色):乳癌の早期発見には細胞診が大きな役割を果たしています。
乳がんは近年増加を続け女性のがんの発症率では第1位となっています。特に30~60才前半ではがん死の原因としても第1位となっています。
画像診断等で「乳癌の疑い」がある患者さんに対する「穿刺吸引細胞診」という検査では、放射線科医師が超音波画像で確認しながら病変部から穿刺針で細胞を吸引します。細胞検査士は、針の中に採取された材料をガラスに吹き付けて染色し、顕微鏡でがん細胞を探します。
病期が進んでしまった場合、胸水貯留を認めるようになり、写真aにように「まりも状」と呼ばれる特徴的な形態で乳癌細胞が見られることがあります。写真bは針生検といって、がんの部分に針を刺して、細胞ではなく組織を吸いだしたもので、癌細胞が蓮根の切り口のような構造をとって増殖しているのがわかります。
病理組織の染色には、虫の体液も使います。
写真aは、ムチカルミン染色という方法で大腸の粘膜を染めたものです。杯細胞と呼ばれる細胞にある粘液が、ムチカルミンという色素で薄紅色に染まっています。この色素はエンジムシというサボテンにつく虫(写真b)から抽出されます。虫の体液といわれるといやがられますが、カルミンはコチニールという天然着色料として、布地の染色はもちろん、食品や化粧品にも使われているのです。
(写真b: http://homepage3.nifty.com/KOMBU/nutrient/nutrient_21.html より)