




虚血性心疾患とは、心臓を栄養している血管(冠動脈)が主に動脈硬化によって狭くなり、心臓の活動に必要な量の血液を十分供給できない状態の病気です。安静時に比べ運動時は心臓の活動量が増加するため、必要とする栄養(血液量)が増加しますが、冠動脈が狭い(狭窄がある)と十分血液を供給できないため、いわゆる需要と供給のバランスが崩れ、十分な活動が出来なくなってしまいます。
その結果として、運動時の胸部痛や呼吸困難感を自覚することが多く、疲れやすい等の症状が出ることがあります。
徐々に狭窄が進行し、運動時のみ胸部症状が出現する労作性狭心症と、突然冠動脈が閉塞してしまう急性心筋梗塞があり、最近の研究(2022年現在)では急性心筋梗塞の院内死亡率は7~8%とその予後は不良です。
治療としては狭心症、急性心筋梗塞いずれも狭窄~閉塞した冠動脈を拡張し血流再開を得ることで、病状によって冠動脈カテーテル治療か、冠動脈バイパス術が選択されますが、近年のカテーテル治療技術・治療機器の進歩により、多くの病態で身体に負担の少ないカテーテル治療が行われており、当院も積極的にカテーテル治療を行っております。
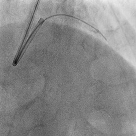
カテーテル治療の方法としては、手首か肘、あるいは足の付け根の動脈からカテーテルを挿入し、冠動脈の狭窄~閉塞部にワイヤーを通し、バルーンで病変を拡張し血流を改善~再開させ、必要に応じてステントを留置いたします。(図1~3)

図1.治療前

図2.ステント留置

図3.治療後
治療の成功率は非常に高く、再狭窄も近年の治療機器の進歩で5%弱とされています。特殊な治療としては、特に左冠動脈主管部(入口)周囲の複雑病変では、可能な限り動脈硬化本体(粥種:プラーク)を切除し、あくまで体内異物であるステン留置本数を少なくする、あわよくば回避する治療戦略(方向性冠動脈粥種切除術:Directional coronary atherectomy)も積極的に検討しております。(図4~6)

図4.治療前

図5.DCA

図6.治療後

図7.Rotational Coronary Atherectomy:RA

図8.治療前

図9.Rotablator

図10.治療後

図11.Orbital Atherectomy System:OAS

図12.治療前

図13.Rotablator

図14.治療後