




正常圧水頭症は、歩行障害、認知障害、排尿障害の3つの症状を特徴とする疾患です。脳の中にある脳室と呼ばれる空間には脳脊髄液が存在していますが、水頭症は、その脳脊髄液が異常に留まることで脳室が拡大し、脳を圧迫することで障害をきたします。正常圧水頭症には、くも膜下出血や髄膜炎などの後に続発する続発性正常圧水頭症と、原因の明らかでない特発性正常圧水頭症(idiopathic Normal Pressure Hydrocephalus:iNPH)に分けられます。60歳代以上に好発し、男女差はありません。
特発性正常圧水頭症は、治療可能な認知症(treatable dementia)の1つとして知られていますが、その他の認知症でもみられる症状でもあるので、診断されず見逃されていることもあり、思い当たる症状があれば専門医に相談するのが望ましいです。
歩行障害、認知障害、排尿障害の3つの症状が特徴です。ただ3つの症状が全てみられるのは60%程度で、1つでも症状がある場合は、本疾患を疑う必要があります。
小刻み歩行、すり足歩行、開脚歩行が特徴的で、歩行速度は低下し、特に方向転換時に不安定です。
歩行開始時や方向転換時にすくみ足(第1歩が出ない)がみられることがあり、パーキンソン病とは違って、号令や目印による改善効果は乏しいです。
集中力の低下や注意機能の障害がみられ、思考・作業速度が低下します。また記憶障害も初期から認められます。特発性正常圧水頭症で障害されやすい機能は前頭葉と密接に関連する機能ですが、重症例では、全般的な認知障害を呈します。
特徴としては、尿意切迫感や切迫性尿失禁、頻尿といった過活動膀胱の症状を認めます。
60歳以降に発症し、歩行障害、認知障害、排尿障害の1つ以上を認める場合には、特発性正常圧水頭症の可能性があります。画像検査で脳室の拡大所見があり、他の疾患では症状を説明できない場合には、特発性正常圧水頭症を疑い、神経内科や脳神経外科を紹介受診するのが望ましいです。
専門科受診後も再度、診察、検査を行います。画像検査では頭部MRIや頭部CTを用いて脳室の拡大所見を評価します。
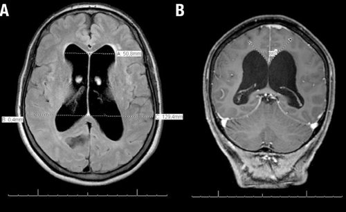
アルツハイマー型認知症も脳萎縮により脳室が拡大しているようにみえますが、特発性正常圧水頭症では高位円蓋部・正中部と呼ばれる部位の脳溝(おおまかにいえば頭頂部の脳の溝)が狭くなっている点がアルツハイマー型認知症と異なります(図1)。また、脳血流SPECT検査を行い、特発性正常圧水頭症でみられる所見がないかどうか、その他の認知症性疾患を疑う所見はないかどうかを確認することもあります(図2)。

図1 特発性正常圧水頭症患者の頭部MRI画像
脳室の拡大が目立つ(A)が、高位円蓋部、正中部(頭頂部)は脳溝が狭小化(B)している

図2 特発性正常圧水頭症患者の脳血流SPECT画像
A、Bではどちらも高位円蓋部・正中部での相対的な血流増加がみられ、この疾患に特徴的な所見である
以上の診察や検査で特発性正常圧水頭症が疑われる場合には、入院してタップテストと呼ばれる検査を行います。タップテストとは、腰椎穿刺(腰から針を刺す)を行い、脳脊髄液を排除して、症状(歩行障害、認知障害、排尿障害)改善するかどうかを確認する検査です。タップテスト前後での症状の変化を適宜評価し、改善が認められた場合には、後で述べるシャント術がすすめられます。1回のタップテストで陰性であったとしても、複数回タップテストを行うことで症状の改善がみられることもあり、その場合はシャント術の適応があると考えられます。
当院では、特発性正常圧水頭症が疑われた場合、神経内科に入院し、リハビリを行いつつ脳血流SPECTなどの画像検査を行います。そして十分な病状評価、スコアリングを行った上で、腰椎穿刺を実施し症状、スコアの改善があるかを評価します。診断が確実と思われた場合は脳神経外科と連携して手術を検討します。
決して珍しい病気ではありません。思いあたる症状がございましたら、お気軽にご相談ください。