




自己免疫性膵炎は膵腫大、膵管のびまん性狭細、血清IgG4高値、ステロイドが有効などを特徴とする慢性膵炎です。
膵臓が炎症により腫大するため、膵内を走行する胆管が押しつぶされて胆汁が十二指腸に流れにくくなり、黄疸を来たすことがあります。黄疸を初発症状とする自己免疫性膵炎が約6割と最も多くなっています。
腹痛はたいていの場合軽く、腹痛を伴わないこともあります。糖尿病の悪化や発症を契機として診断される場合もあります。また、6割程度に体重減少がみられます。
自己免疫機序の異常が原因とされていますが、詳細なメカニズムは未だ不明です。高齢者に多く、発症年齢では60代にピークがみられます。男女比は4対1で男性に多い疾患です。また膵臓以外の部位(胆管、唾液腺、後腹膜、肺、腎臓など)にも病変を生じることが知られています。
まれな疾患であるため、以前は膵癌と区別がつかず手術されることもありました。現在は手術までされることが少ないですが、癌専門病院に紹介された後に「これは癌ではなくて自己免疫性膵炎ですよ」ということで当院に紹介されるケースが多いです。
画像所見(膵腫大、膵管狭細像)、血液所見(IgG4という蛋白が90%で上昇:135mg/dL以上)、病理診断に基づいて診断されます。膵癌との鑑別が問題になる場合は超音波内視鏡下膵生検の施行までが必須になります。一方で膵臓がびまん性に腫大し、IgG4が著しい高値を示すような典型的なケースでは侵襲的な検査は少なくて済みます。

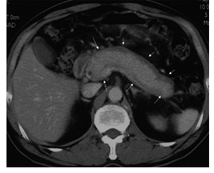
自己免疫性膵炎のCT画像: びまん性に膵臓が腫大(ソーセージ様、たらこ様と形容される)。膵臓に被膜様構造(黒い縁取り)がみられ、自己免疫性膵炎の典型的所見。
ステロイドという免疫を抑える薬剤が大変有効です。
ステロイド薬のひとつであるプレドニゾロンという薬剤を1日30mgで1カ月間内服すると、膵の腫大や膵管の狭細像は明らかに改善します。以後は徐々に減量し最終的に5mg程度で維持することが多いです。 ステロイドを短期で中止にしてしまうと再燃の多いことが知られており、少量のステロイド投与(維持療法)をある程度続ける必要がありますが、どの程度の期間続ければよいかはまだコンセンサスが得られていないのが現状です。
当院では2.5mgまで減量することはあっても極力オフにはしないようにしています。ガイドラインに示されている通りの3年治療して中止の症例の経過を追ってゆくと自験例ではその後5年で半数以上が再燃しているためです。

膵頭部腫大の自己免疫性膵炎。ステロイド治療により膵臓が小さくなっている
*自己免疫性膵炎は消化器内科医師の平野が東京大学消化器内科在籍時より専門にしていた疾患であり、他院からの紹介も多く、当院の規模としては異例の78症例を有しています。(2026/1)