






近年、肺がんによる死亡率は、男性1位、女性2位となり、喫煙率は減少しているにも関わらず増加しています。

GE社製 64列マルチスライスCT
早期に発見されれば、5年生存率は80%以上ですが、実際は他の癌に比べて進行が早いため、進行癌で発見される例が大半です。「早期肺がん」の6割は胸部X線では発見困難であったとする最近の報告もあり、「毎年胸部X線による肺がん検診を受けているのに、見つかった時はすでに進行癌だった」「胸部CTで進行癌が見つかっているのに胸部X線で異常が見つけられない」というケースは決して稀ではありません。
肺がんドックは胸部X線では見つけにくい肺癌を見つけ出すことが可能です。当院では64列マルチスライスCTを使用し低線量で1.25mm間隔ですきまなく、1回の息止めで高速撮影をしています。加えて、喀痰細胞診により癌細胞の有無を調べます。
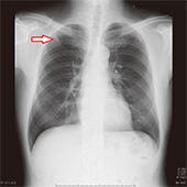
胸部X線では5mmの淡い結節影がありますが、画像を拡大しても肋骨に隠れており非常に見つけにくい状態です。同じ部位を胸部CTで撮影すると明らかに白く明瞭にがんが描出されています。
たばこを吸う人だけが肺がんになると思っていませんか?肺がんの喫煙者の割合は男性の場合7割ですが、女性の場合たった2割と言われています。
次の項目に該当する方には無症状でも肺がんドックをお勧めします。
料金:20,600円
詳しくは人間ドックセンターへお問合せください。
電話:03-5214-7055
※郵政共済組合の方は、「がん検診の補助」制度の「肺がん」に該当しますので、補助の対象となります。

X線

X線拡大画像

CT